
Wiedza z Ghanaati Education w praktyce klinicznej
Joanna Śmieszek-Wilczewska, właścicielka kliniki HolisticSmile , wykorzystuje w swojej codziennej praktyce wiedzę zdobytą w programie edukacyjnym Prof. Shahrama Ghanaatiego – Ghanaati Education.
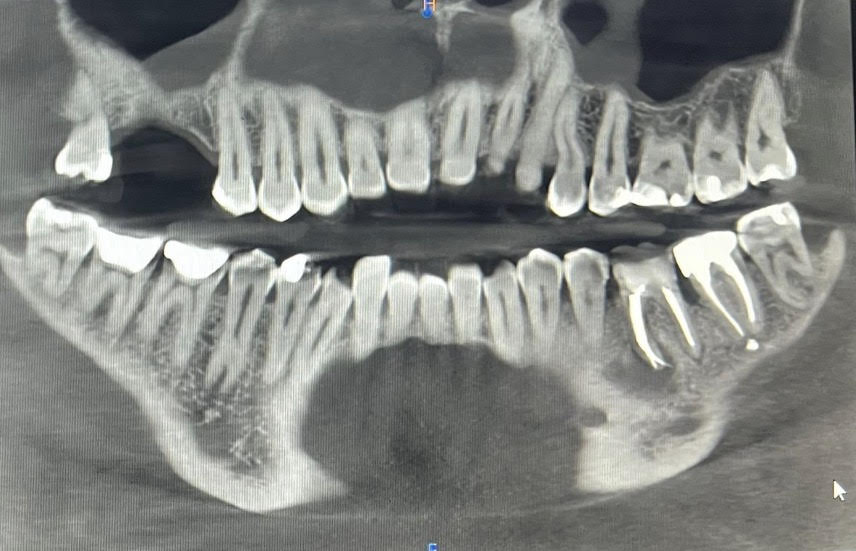
Program ten łączy najnowsze badania naukowe z praktycznymi rekomendacjami w dziedzinie chirurgii biologicznej, stomatologii i implantologii, w tym z diagnostyką w oparciu o obrazowanie CBCT/CT oraz analizę struktur kostnych szczęki i twarzy w technologii 3D.
Czym są kawitacje i dlaczego mają znaczenie?
Jednym z kluczowych pojęć, które Joanna Śmieszek-Wilczewska włączyła do swojej praktyki klinicznej, jest koncepcja „cavitations” – czyli kawitacji w kości szczękowej.
Kawitacje to obszary nieprawidłowego gojenia się kości po ekstrakcjach zębów, urazach lub stanach zapalnych. Choć często niewidoczne w standardowych badaniach radiologicznych, mogą stanowić ukryte ogniska zapalne, które oddziałują nie tylko lokalnie, ale również systemowo na cały organizm.
Dzięki zaawansowanej diagnostyce 3D i doświadczeniu zdobytemu w ramach Ghanaati Education, Joanna Śmieszek-Wilczewska potrafi analizować tomografię CBCT w taki sposób, aby rozpoznać zmiany o charakterze kawitacyjnym, a następnie określić ich potencjalny wpływ na zdrowie ogólne pacjenta.
Nowy wymiar diagnostyki w stomatologii biologicznej
W HolisticSmile diagnostyka 3D przestaje być jedynie narzędziem obrazowania struktur anatomicznych.
Dzięki integracji wiedzy z zakresu biologicznej chirurgii, regeneracji tkanek i patofizjologii procesów zapalnych, możliwe jest stworzenie pełnego obrazu stanu zdrowia pacjenta — nie tylko w obrębie jamy ustnej, ale również w kontekście całego organizmu.
Podejście to pozwala na:
- wczesne wykrywanie przewlekłych stanów zapalnych,
- identyfikację ukrytych ognisk infekcji,
- zrozumienie ich potencjalnych skutków systemowych,
- oraz planowanie leczenia regeneracyjnego w sposób bezpieczny i spersonalizowany.
Holistyczna stomatologia przyszłości
Jak podkreśla Joanna Śmieszek-Wilczewska, połączenie precyzyjnej technologii obrazowania 3D z wiedzą biologiczną i chirurgiczną zdobytą u profesora Ghanaatiego otwiera nową erę w diagnostyce stomatologicznej.
To podejście holistyczne, w którym każdy obraz tomograficzny staje się źródłem informacji o ogólnym stanie zdrowia pacjenta, a nie tylko o kondycji jego zębów.”